肘関節外科グループ
肘関節外科
グループ
について
肘関節は上腕骨と前腕骨(橈骨・尺骨)をつなぐ複合関節であり、屈伸運動に加えて前腕の回旋機能を担う、上肢機能の要となる部位です。
この複合的な動きを可能にする骨・関節構造に加え、靭帯などの支持組織の構築も非常に精緻であり、損傷の病態把握が難しい関節として知られています。一度その複雑な構造が破綻すると、修復や再建が困難となることも多く、肘関節障害の診断と治療には高度な専門知識と経験が求められます。一見すると軽微に見える外傷が著明な不安定性を呈したり、関節拘縮を引き起こしたりします。肘関節外科を専門とする医師は決して多いとは言えず、専門的治療を体系的に行う施設も限られていますが、当科では豊富な経験と確かな技術を有するチームが診療を担っています。
昭和医科大学整形外科 肘関節外科チームは、急性期外傷から外傷後の機能再建、変形性関節症、スポーツ障害まで、肘関節のあらゆる病態に対して、専門的かつ丁寧な治療を行っています。(文責:筒井完明)
-
03-3784-8419
-
03-3784-8000
-
03-3784-8400
代表的な疾患
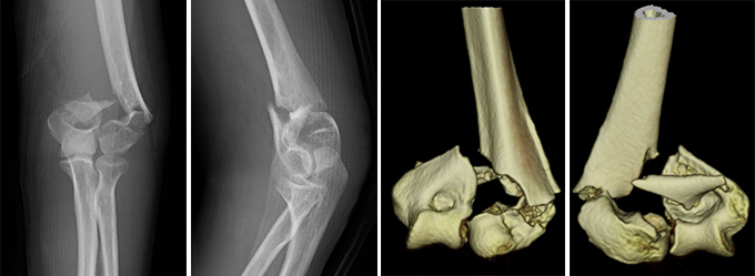
上腕骨遠位端骨折
肘を構成する上腕骨の末端が折れる外傷で、転倒や交通事故などで強い衝撃が加わって発生します。関節面のずれや骨片の転位を伴うと、肘の安定性と可動域が大きく損なわれます。治療の基本は、プレートやスクリューによる解剖学的整復と強固な固定であり、手術後は早期からリハビリを開始して肘の動きを保つことが極めて重要です。高齢者では骨の脆弱性や全身状態に応じて、保存加療や人工関節置換術を選択することもあります。
症例 50代 女性
(術前)

(術後 12か月)
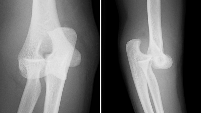
肘頭骨折
肘の尖った部分(肘頭)が折れる外傷で、転倒して肘を強くついた際などに起こります。肘頭には上腕三頭筋が付着しており、牽引によって骨片が離開するため、痛みや腫れが強く、肘を伸ばすことが困難になります。ずれが少ない骨折ではギプス固定で自然治癒を目指しますが、多くの場合は筋力により骨折部が引き離される力が加わるため手術を要します。ワイヤーやプレートで固定する従来の方法に加え、当科では骨折型によって金属を用いずに強力な縫合糸で固定する方法も行っております。強固に固定することで術後早期からリハビリを行い肘の可動域の再獲得を目指します。
症例① 70代 女性 プレート固定
症例② 70代 女性 dual suture fixation
肘関節脱臼骨折(OFD・PLRI・PMRI・TTI)
脱臼に骨折や靱帯損傷を伴う複合的な肘外傷で、治療が難しい重症な外傷です。代表的なものに、肘頭脱臼骨折(OFD)、後外側回旋不安定症(PLRI)、後内側回旋不安定症(PMRI)、橈骨頭と鉤状突起骨折を伴うテリブルトライアッド(TTI)などがあります。これらは骨折と靱帯損傷の双方を正確に整復・修復しなければ、慢性的な不安定性や痛み、可動域制限を残す可能性が高いです。近年は治療戦略が構築されてきており、プレート固定やアンカーなどを用いた靱帯縫合により、安定した関節機能の再獲得が可能となってきています。
症例① 60代 女性
症例② 40代 男性
橈骨頭骨折
前腕の外側の骨(橈骨)が上腕骨にぶつかり骨折する外傷です。肘関節の安定性と手のひらを上げ下げする「回内外運動」を司る部位で、後述する鉤状突起骨折と同様に本骨折は骨折のみでなく、靭帯損傷なども含めた複合的な損傷であることが多く、症例に応じて治療を行います。ずれが小さい骨折は短期間の固定で自然治癒が期待できますが、粉砕や転位がある場合はプレートやスクリューで整復・固定を行います。重度の粉砕例では人工骨頭置換術を行うこともあります。術後は早期からリハビリを行い、肘と前腕の可動域回復を目指します。
症例 40代 男性
鉤状突起骨折
肘の前方を支える鉤状突起(coronoid process)が、脱臼時に上腕骨滑車と衝突して折れる外傷です。この部位は前方関節包や内側側副靱帯などの重要な支持組織が付着しており、損傷する部位により肘の安定性が大きく失われてしまいます。この部位の骨折が単独で起こることは稀であり、多くは他部位の靭帯損傷を合併しています。そのため、肘関節の外傷の全体像を把握し、総合的に判断したうえで固定を行います。不安定な骨折や脱臼骨折ではプレートやスクリューで固定を行います。肘関節全体の安定化と早期リハビリで、機能的な肘の再建を目指します。
症例 40代 男性
変性疾患・外傷後後遺症
肘関節拘縮
外傷や手術の後に、肘の動きが硬くなり、伸ばしたり曲げたりがしにくくなる状態です。原因は関節包や靱帯の瘢痕化、骨棘や異所性骨化などで、日常動作に支障をきたします。初期はリハビリで改善を目指しますが、可動域の制限が強い場合は骨棘や瘢痕組織を除去し、関節包を剥離・切除する関節授動術を行います。症例に応じて関節鏡での手術や比較的大きく皮膚切開を加えて行う術式を選択します。皮膚術後は再拘縮を防ぐため、早期の可動域訓練が非常に重要です。
症例 60代 女性
変形性肘関節症
加齢や基礎疾患、外傷後などで軟骨がすり減り、関節内に骨棘(トゲ状の骨)や遊離体が生じることで痛みや動きの制限が起こる病気です。初期は安静や鎮痛薬、理学療法で症状が緩和される場合がありますが、進行すると疼痛や変形によって機械的に動きが妨げられます。比較的軽度のものであれば関節鏡を用いて遊離体や骨棘を取り除くことで痛みと動きの改善が見込めます。重度の変形例では年齢を考慮し人工肘関節置換術により日常生活動作の回復を目指します。
外側上顆炎(テニス肘)
肘の外側に痛みを生じる疾患で、手首を伸ばす筋肉が骨に付着する部分の腱が繰り返し引っ張られて炎症や変性を起こすことが原因です。物を握ったり捻ったりする動作で痛みが強くなります。多くは保存療法で改善し、ストレッチ、注射などが用いられます。慢性化した場合には、関節鏡視下で滑膜切除と腱起始部の再縫合を行います。靭帯断裂まで至っている例に関しては靭帯再建を行います。
症例 40代 男性 関節鏡所見 腕橈関節内の滑膜ひだを切除している
内反肘(上腕骨骨折後変形)
腕を伸ばしたときに肘が内側へ傾く変形で、小児期の骨折後の変形として起こります。軽度では機能障害が少ないため経過観察でよいことが多いですが、外見上の問題や神経障害、関節の不安定性を伴う場合には矯正骨切り術で骨の角度を整えます。正確な矯正と術後のリハビリにより、見た目と機能の両立が可能です。
症例 40代 男性 右内反肘 (術前/術後12か月)
陳旧性モンテジア脱臼骨折
橈骨頭脱臼と尺骨骨折を見逃して時間が経過した状態です。肘の動きや前腕の回旋制限、橈骨神経麻痺を伴うことがあります。治療は、尺骨を骨切りして正しい長さと角度を再建し、橈骨頭を整復します。さらに必要に応じて靱帯再建を行います。手術を行ったとしても機能回復が得られない場合もあり、年齢や肘から手関節にかけての総合的な判断が必要となります。
肘関節脱臼
転倒やスポーツ中の転倒で手をついたときなどに、肘の骨同士が外れてしまう外傷です。最も多いのは後方脱臼で、激しい痛みと腫れ、変形を伴い、肘を動かすことができなくなります。治療はまず整復(脱臼を戻すこと)を行い、骨折や靭帯損傷の有無をCTやMRIで精査します。関節が安定していれば一時的な固定後に可動域訓練を始め、靭帯損傷が強い場合は手術で修復します。早期に適切な治療を行うことで後遺障害を最小限に抑えることができます。
症例 10代後半 女性(保存加療)
(受傷時)

(受傷後 16か月)
その他の代表的疾患
肘部管症候群(尺骨神経障害)
肘の内側を通る「肘部管」で尺骨神経が圧迫され、薬指や小指のしびれ、握力低下を生じる疾患です。長時間の肘屈曲や変形、骨折後の癒合異常が原因となることがあります。進行すると手の中の細かい筋肉が痩せてしまい、細かい動作(ものをつまむなど)が難しくなります。軽症では内服や外固定で改善する場合がありますが、改善しない場合は神経を圧迫や機械的刺激から解放する神経移行術行い、神経機能の回復を図ります。
スタッフ紹介
講師
筒井 完明
- 専門分野
- 肘関節外科・手外科、重症四肢外傷、マイクロサージェリー
- 認定医・専門医など
-
・医学博士
・日本整形外科学会整形外科専門医
・日本手外科学会専門医・指導医
・JABO(Japanese Association for Biological Osteosynthesis) Faculty
・J-SWAT(Japanese Severe extremity trauma & Wound management Activate Team) member
講師
西川 洋生
- 専門分野
- 肘関節外科、肩関節外科、スポーツ整形外科
- 資格
- 日本整形外科学会整形外科専門医
助教
荻原 陽
- 専門分野
- 手外科
- 資格
- 日本整形外科学会整形外科専門医
大学院生
天野 貴司
- 専門分野
- 肩関節外科
- 資格
- 日本整形外科学会整形外科専門医
助教
佐野 栞
- 専門分野
- 整形外科全般
- 資格
- 日本整形外科学会整形外科専門医
助教
小澤 静香
- 専門分野
- 上肢
- 資格
- 日本整形外科学会整形外科専門医
代表的な業績
Tsutsui S, Okano I, Kuroda T, Kawasaki K, Inagaki K. Adjunctive intraosseous wiring fixation technique for the comminuted distal humeral fractures. JSES Rev Rep Tech. 2023;3(4):583-591. Published 2023 Jun 24. doi:10.1016/j.xrrt.2023.05.009